Nous acceptons les paiements via santé éducation

Soins bucco-dentaires gratuits du 16 au 20 mars 2020

Soins bucco-dentaires gratuits du 16 au 20 mars 2020
Extrait de l'article: Le 20 mars est la Journée Mondiale de la santé bucco-dentaire. Pour marquer l’événement, L’Association des Chirurgiens-Dentistes du Togo offre des consultations et soins bucco-dentaires gratuits.

Le 20 mars est la Journée Mondiale de la santé bucco-dentaire. Pour marquer l’événement, L’Association des Chirurgiens-Dentistes du Togo(ACDT) offre des consultations et soins bucco-dentaires gratuits.

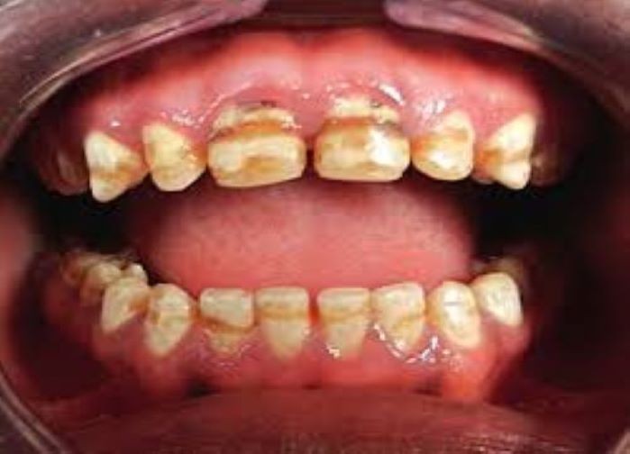
Les togolais pourront se refaire une bonne santé bucco-dentaire du 16 au 20 mars. Et cela pour presque rien. L’association prévoit sur toute la semaine plusieurs manifestations dont des sensibilisation et consultations gratuites.  Le thème retenu pour l’événement cette anné est « DIS AHH, unissons-nous pour la santé bucco-dentaire ». D’après l’étude sur la charge mondiale de morbidité 2016, la moitié de la population mondiale (3,58 milliards) souffrait d’affections bucco‑dentaires. La plus constaté reste la carie dentaire, toutefois une mauvaise hygiène dentaire peut conduire au cancer de bouche. Il est donc primordial d’avoir une bouche saine pour prétendre à un corps sain et au bien-être général. 



17 mars 202018 mars 202019mars 202020 mars 2020

8h30 : consultations et soins bucco-dentaires gratuits au CMS Baguida

15h00 : formation sur l’hygiène bucco-dentaire – Agora Senghor

8h30 : consultations et soins bucco-dentaires gratuits au CMS Baguida

8h30 : consultations et soins bucco-dentaires gratuits au CMS Baguida

Consultation gratuites dans  tous les cabinets dentaires publics et privés.


Auteur
santé éducation
Rédacteur

Le 20 mars est la Journée Mondiale de la santé bucco-dentaire. Pour marquer l’événement, L’Association des Chirurgiens-Dentistes du Togo offre des consultations et soins bucco-dentaires gratuits.

VOUS POURRIEZ AUSSI AIMER